Röntgenordination Hainburg Prim.Dr.Lukas Koppensteiner
Röntgenordination HainburgPrim.Dr.Lukas Koppensteiner

Hier finden Sie uns

Röntgenordination Hainburg

Privatordination im Klinikum

Hofmeisterstraße 70
2410 Hainburg a.d. Donau

Kontakt

Rufen Sie einfach an unter

 +43 2165 9004 600,

 

senden Sie uns ein mail

 dr.koppensteiner@aon.at ,

 

oder nutzen Sie unser Kontaktformular.

Ordinationszeiten:

Montag bis Freitag

nach Vereinbarung

Mammabiopsie

Sollte bei der Brustuntersuchung ein verdächtiger Knoten entdeckt werden, muss man die Art des Knotens genau untersuchen. Dafür ist ausschließlich die Entnahme einer Gewebsprobe (Biopsie) geeignet, die man dann unter dem Mikroskop histologisch, zytologisch und mit speziellen Untersuchungstechniken (Immunhistochemie) analysiert und dadurch eine klare Diagnose herbeiführt.

Oftmals wird in Ordinationen, die keine Biopsien durchführen, zunächst eine Magnetresonanzuntersuchung  veranlasst (Mamma MR). In aller Regel verzögert dies unnötig die Diagnostik aufgrund der oft langen Wartezeiten. Ein Knoten, der in Mammographie und Ultraschall verdächtig auf ein Mammacarcinom ist, wird nahezu niemals durch eine MR Mammographie als eindeutig gutartig identifiziert. Die bioptische Abklärung bleibt daher immer noch notwendig, nur die Diagnose und der Beginn der Therapie werden verzögert.

Wir entnehmen die Biopsien in aller Regel unter Ultraschallsicht, selten mittels der Röntgenmethode der "Stereotaxie".

 

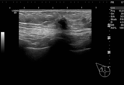
Biopsie eines 5 mm kleinen Mammacarcinoms

 

 

 

 

Hier sehen sie einen verdächtigen Knoten in der rechten Brust von 5 mm Durchmesser im hochauflösenden Ultraschall. Es mussgeklärt werden, ob dieser Tumor bösartig ist, um welchen Tumortyp es sich handelt und ob an der Zelloberfläche Hormonrezeptoren vorhanden sind.

 

 

 

 

 

 

 

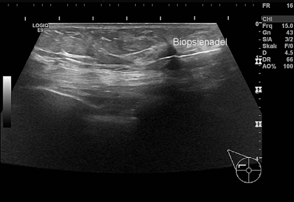
Zunächst wird die Biopsienadel unter Ultraschallkontrolle an den Tumor herangeführt

 

 

 

 

Die Biopsienadel wird durch einen Hochgeschwindigkeitsstanzapparat geführt, der aus dem Tumor eine Gewebsprobe (Stanzzylinder) entnimmt und nach der Gewebsstanze noch im Tumor liegt. Dadurch kann man nachzuweisen, dass die Gewebsprobe - wie in diesem Fall - tatsächlich aus dem Zentrum des Tumors entnommen worden ist.

 

 

Die Untersuchung des Knotens hat ein kleines Mammacarcinom ergeben. Die Patientin konnte brusterhaltend operiert werden.

 

 

Nähere Informationen finden sie im Aufklärungsbogen für Mammabiopsien.

Druckversion | Sitemap
© Röntgenordination Hainburg